FIND US: 5231 Monticello Ave., Suite E, Williamsburg, VA. 23188

Current Patients: 757-565-6303

New Patients Call: 757-216-9873

Tina

Hear from Tina

“I have never experienced an office (medical or any other service-oriented office) where the staff was not only striving for excellence with your treatment, but excellence in how you are “treated.” At Williamsburg Center for Dental Health, the caring attention from every member of the team shows that you are an important person, not just an important “client.” Everyone is genuine and I look forward to going to the dentist! They strive for only the best work and will not let you leave without the best-quality job!

I always recommend the office as I do believe WCDH will not only give you the highest-quality care, but you will love the atmosphere, staff and how you are treated. Everyone who has taken my advice, no matter their age, has thanked me for the referral!”

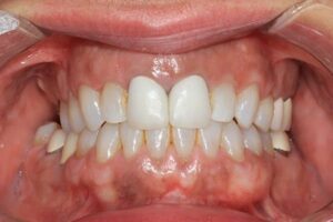
Tina's Treatment

Crowns in the front had black margins. As a conservative approach, Six Month Smiles® braces made the smile more complete. The front crowns were then replaced and one other tooth replaced with an implant.

Before: