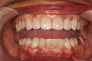
"Dr. Hall has changed my smile; in fact she gave me my smile! I’ve been with her for approximately 12 years now and have never been happier. Her amazing work truly brings out your real personality. So many people have asked me about my smile and I simply give them her card – she will do the rest! I am so grateful and thankful for her talent."
