"My experience at Williamsburg Center for Dental Health was a very rewarding time. Dr. Hall and her staff are like visiting family. You are very comfortable and everything is explained to you to know what to expect. My dearest friends recommended the practice when I moved here two years ago. After I was evaluated, I was presented with three different options I could choose. They were explained in detail and I was given the opportunity to ask questions. I made my choice and we were ready to proceed. I would highly recommend WCDH to any one who wants dental work that is professional, beautiful results, and pleasant to experience."
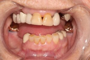
Restored upper teeth with a bridge that had attachments for a new, more aesthetically pleasing partial. Restored worn lower teeth with crowns; replaced missing teeth with implants.

