FIND US: 5231 Monticello Ave., Suite E, Williamsburg, VA. 23188

Current Patients: 757-565-6303

New Patients Call: 757-216-9873

Linda

Hear from Linda

“Dr. Hall and her staff are consummate professionals. I was thrilled with the results of my Invisalign. They walked me through every step and answered all my questions. I now smile when I have my picture taken.

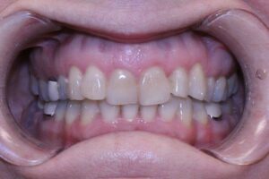
Linda's Treatment

Linda received teeth straightening by Invisalign and whitening

Before: