FIND US: 5231 Monticello Ave., Suite E, Williamsburg, VA. 23188

Current Patients: 757-565-6303

New Patients Call: 757-216-9873

Inez

Hear from Inez

“Dr. Hall took the time to thoroughly explain all the options that were available. She included the pros and cons for each option. Dr. Hall and her entire staff always make me feel comfortable. They treat you like a friend not a patient. I would highly recommend Dr. Hall to everyone.”

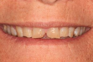
Inez's Treatment

She had worn teeth from grinding. We reshaped her worn teeth on the bottom with tooth-colored bonded fillings. She needed crowns to repair the worn upper front teeth. To work within her budget, we were able to create ideal temporary crowns and complete work on pairs of teeth instead of all at once.

Before: