"I had an excellent experience. The office staff and Dr. Hall are great. I had the problem diagnosed and the treatment and payment plan laid out for me. It was painless and the end result was fabulous. I have been going to WCDH for 5 years and have been pleased with my care. I would definitely recommend them to anyone new to the area or just looking for a positive dental experience."
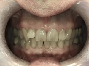
Ellen had teeth out of place making it hard to clean and increasing the chances of her breaking teeth in the future. We straightened her teeth with Invisalign and did some whitening and bonding to correct some misshapen teeth.
