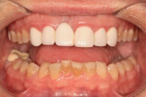
Doug had an old bridge that was over-contoured and partially broken, making his gum tissue angry. These problems also affected his bite. Performed orthodontics on lower teeth, then replaced the bridge, making it an ideal shape so that gum tissue could heal. Treatment corrected the bite and dental work will last much longer.


