FIND US: 5231 Monticello Ave., Suite E, Williamsburg, VA. 23188

Current Patients: 757-565-6303

New Patients Call: 757-216-9873

Deanna

Hear from Deanna

“I have been living in Williamsburg, Va for 14 years and for years I have been in search of an excellent dentist. After trying many different dentists, even as far away as Richmond, a friend of mine suggested that I call Dr. Stacey Sparkman Hall.

From my first visit to Williamsburg Center for Dental Health I have felt at ease and very well cared for. I had some bad experiences with previous dental procedures at other offices so I have needed extra sedation with any dental work, which Dr. Hall was licensed and able to provide.

Dr. Hall is warm, friendly, and is always concerned about my comfort during the procedures. The dental assistants and all office staff are warm and friendly also. The staff combines professionalism with genuine concern for the patient. Their skill, professional demeanor and friendliness obviously reflect the tone they’ve set for this office.

I’m very grateful to have found Williamsburg Center for Dental Health and would highly recommend this practice to anyone looking for an outstanding dental office. Thank you for the excellent dental work and kindness you’ve extended to me over the past two years.”

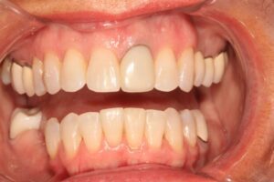
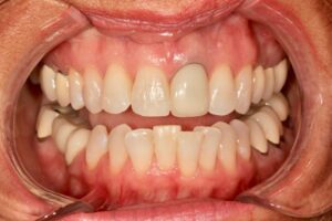
Deanna's Treatment

Teeth straightening for alignment and replaced molars with implants.

Before: