FIND US: 5231 Monticello Ave., Suite E, Williamsburg, VA. 23188

Current Patients: 757-565-6303

New Patients Call: 757-216-9873

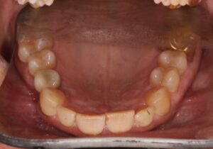
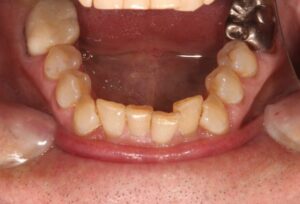
Chuck

Hear from Chuck

“I am very happy and surprised with my new smile! It is interesting what clear aligners can accomplish in 12 months. Then I did the whitening procedure. When Linsey, my hygienist, removed the stains, that completed the process. I find I can clean my teeth so much easier now. WCDH is a team of professionals. Thanks for being there for the Frey’s. I would heartily recommend this office to anyone.”

Chuck's Treatment

Chuck wanted straighter teeth that were easier to clean, therefore we used clear aligners to straighten and we whitened the teeth.

Before: